Эмбриология
Гаметогенез и оплодотворение
Деление, дробление, имплантация и гаструляция
Плацента и пуповина
Органогенез
Общая гистология
Эпителий. Покровная система.
Железы
Кровь
Кроветворение
Рыхлая соединительная ткань
Cоединительная ткань со специальными свойствами
Плотная соединительная ткань
Хрящ
Кость
Мышечная ткань
Нервная ткань
Частная гистология
Нервная система
Эндокринная система
Органы чувств
Сердечно-сосудистая система
Лимфатическая система
Мочевыделительная система
Репродуктивная система
Респираторная система
Волос. Ноготь
Пищеварительная система
Цитология
Литература
Благодарности
Услуги
Учебные микропрепараты по эмбриологии и гистологии
Доклинические исследования
Гистологические исследования
Компьютерное моделирование
Микропрепараты в увеличении
Digestive system
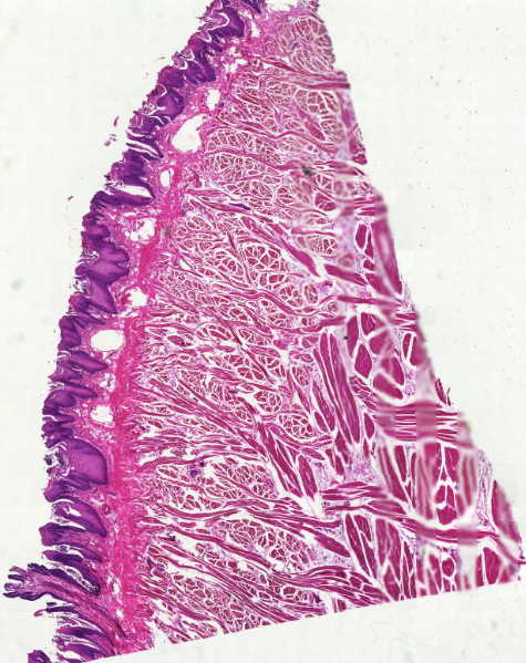
Желудок крысы
Rat`s stomach
معده موش
Поджелудочная железа
Pancreas
طحال
Печень
Hepar (liver)
کبد
Ворсины тонкого кишечника
Villi of the small intestine
صاف مکعبی،ماهیچه هایکوچک،بافت پوششیتاژک مربوط به روده
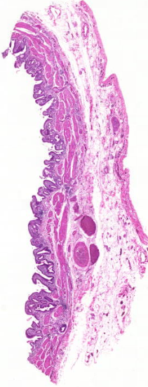
Пищевод
Esophagus
مری
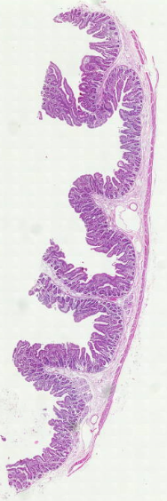
Тощая кишка
Jejunum
ججونوم
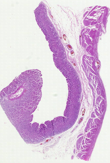
Переход пищевода в желудок
Gastroesophageal junction
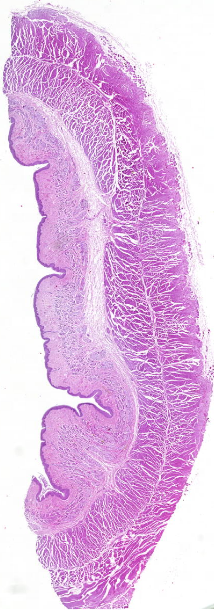
Толстая кишка
Colon
Желудок. Фyндальный отдел
Fundic Stomach
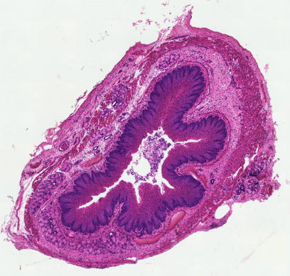
Двенадцатиперстная кишка
Duodenum
Пищевод
Esophagus
Дно желудка
Fundic Stomach
Тонкая кишка
Small intestine
Толстая кишка
Colon
Желудок. Фyндальный отдел
Fundic Stomach
Тощая кишка свиньи
Jejunum of a pig
Толстая кишка
Colon
Пищевод
Esophagus
Переход пищевода в желудок
Gastroesophageal junction
Переход пищевода в желудок
Gastroesophageal junction
Двенадцатиперстная кишка
Duodenum
Желчный пузырь
Gallbladder
Дно желудка
Fundic Stomach
Печень
Liver
Подвздошная кишка
Ileum
Тощая кишка человека
Human jejunum
Тощая кишка человека
Human jejunum
Толстая кишка
Colon
Печень
Liver
Печень
Liver
Пищевод
Esophagus
Поджелудочная железа. Островки Лангерганса
Pancreas. Islets of Langerhans
Поджелудочная железа.
Pancreas.
Пилорический отдел желудка
Pyloric section of the stomach
Прямая кишка
Rectum
Тонкая кишка
Small intestine
Тонкая кишка
Small intestine
Дно желудка
Fundic Stomach
Дно желудка
Fundic Stomach
Язык. Вкусовые луковицы. Поперечно-полосатые мышцы языка.
The tongue. The taste buds. The striated muscles of the tongue.
Язык. Поперечно-полосатые мышцы языка.
The tongue. The striated muscles of the tongue.
Язык. Поперечно-полосатые мышцы языка.
The tongue. The striated muscles of the tongue.
Язык. Вкусовые луковицы. Поперечно-полосатые мышцы языка.
The tongue. The taste buds. The striated muscles of the tongue.