Эмбриология
Гаметогенез и оплодотворение
Деление, дробление, имплантация и гаструляция
Плацента и пуповина
Органогенез
Общая гистология
Эпителий. Покровная система.
Железы
Кровь
Кроветворение
Рыхлая соединительная ткань
Cоединительная ткань со специальными свойствами
Плотная соединительная ткань
Хрящ
Кость
Мышечная ткань
Нервная ткань
Частная гистология
Нервная система
Эндокринная система
Органы чувств
Сердечно-сосудистая система
Лимфатическая система
Мочевыделительная система
Репродуктивная система
Респираторная система
Волос. Ноготь
Пищеварительная система
Цитология
Благодарности
Микропрепараты в увеличении
General histology
Многослойный плоский неороговевающий эпителий
Stratified Squamous Non-Keratinized Epithelium
اپیتلیوم سنگفرشی مطبق غیرکراتینی
Слюнная железа, Смешанная железа, Трубчато-альвеолярная железа
Salivary gland, Merocrine gland, Compound (branched) tubule-acinar gland
غده بزاقی/غده اکرین(غده عرق معمولی یا مروکرین)غده منشعب لوله ای اسینی
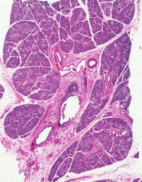
Подчелюстная железа, Cмешанная железа, Тубуло-альвеолярная железа
Submandibular gland, compaund gland , Tubulo-alveolar gland
غده تحت فکی (زیراواره ای) غده منشعب غده لوله ای اسینی
Мазок крови человека
Blood
خون
Мазок крови человека
Blood
خون
Мазок крови человека
Blood
خون
Бурый жир
Brown adipose tissue
بافت چربی قهوه ای
Поперечнополосатая мускулатура, Рыхлая волокнистая ткань
Skeletal muscles, loose areolar connective tissue
ماهیچه اسکلتی/بافت پیوندی سست
Формирование кости
Bone occification
استخوانسازی
Кость (продольный и поперечный срез)
Bone (cross and longitudinal section)
استخوان(مقطع عرضی و طولی)
Кость (поперечный срез)
Bone (cross section)
استخوان
Миелиновое нервное волокно (продольный срез)
Myelinated nerve fiber (longitudinal section)
فیبر عصبی میلین دا مقطع طولی
Обонятельный эпителий, Рыхлая волокнистая соединительная ткань, Нервный ствол
Pseudostratifed epithelium , loose areolar connective tissue , Nerve trunk
بافت دوششی متغییر(اپی تلیوم متغییر) بافت پیوندی سست تنه عصبی
Толстая кожа, Ороговевающий эпителий, Рыхлая волокнистая ткань, Осязательные тельца
Thick skin , keratinized squamous epithelium , loose areolar tissue , Nerve corpuscles
پوست کلفت/اپی تلیوم سنگفرشی کراتینه شده بافت پیوندی سست جسمکهای عصبی
Респираторный эпителий, или многорядный призматический эпителий трахеи
Respiratory epithelium, or ciliated pseudostratified columnar epithelium of the trachea
Кровь
Blood
خون
Кость
Bone
استخوان
Развитие кости. Эндоходндральная оссификация
Bone development. Endochondral ossification
و گسترش استخوان غضروفیاستخوان سازی درون
Многослойный плоский неороговевающий эпителий
Stratified Squamous Non-Keratinized Epithelium
اپیتلیوم سنگفرشی مطبق غیرکراتینی
Белая жировая ткань
White adipose tissue
بافت چربی سفید
Белая жировая ткань
White adipose tissue
بافت چربی سفید
Белая жировая ткань
White adipose tissue
بافت چربی سفید
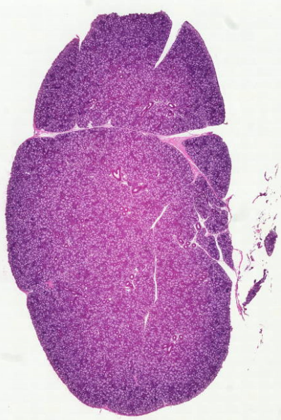
Красный костный мозг
Red bone marrow
مغز قرمز استخوان
Матка
Uterus
رحم
Мезотелий
Mesothelium
مزوتلیوم
Кубический эпителий, гладкая мышечная ткань
Cuboidal epithelium, Smooth muscles
Пуповина, студенистая ткань
Umbilical cord, mucous tissue
بند ناف , بافت همبند مخاطی
Толстая кожа, Ороговевающий эпителий, Рыхлая волокнистая ткань, Осязательные тельца
Thick skin , keratinized squamous epithelium , loose areolar tissue , Nerve corpuscles
پوست کلفت/اپی تلیوم سنگفرشی کراتینه شده بافت پیوندی سست جسمکهای عصبی
Респираторный эпителий, или многорядный призматический эпителий трахеи
Respiratory epithelium, or ciliated pseudostratified columnar epithelium of the trachea
Пуповина, студенистая ткань
Umbilical cord, mucous tissue
بند ناف , بافت همبند مخاطی
Простой плоский эпителий (мезотелий)
Simple squamous epithelium SS(mesothelium)
اپیتلیوم سنگفرشی ساده (مزوتلیوم)
Многослойный плоский неороговевающий эпителий (клетки слизистой оболочки полости рта)
Stratified squamous non-keratinized epithelium (cells of the oral mucous membrane)
اپیتلیوم سنگفرشی مطبق غیر کراتینه (سلولهای مخاط دهان)
Многослойный плоский неороговевающий эпителий (клетки эпителия полости рта)
Stratified squamous non-keratinized epithelium (epithelial cells of the oral cavity)
اپیتلیوم سنگفرشی مطبق غیر کراتینه (سلولهای اپیتلیال حفره دهان)
Однослойный многорядный мерцательный эпителий или псевдомногослойный реснитчатый (cеменные пузырьки)
Simple columnar ciliated epithelium or pseudostratified (seminal vesicles)
اپیتلیوم استوانهای کاذب مژکدار (وزیکول منی)
Многослойный плоский неороговевающий эпителий (пищевод)
Stratified squamous non-keratinized epithelium (esophagus)
اپیتلیوم سنگفرشی مطبق (مری)
Однослойный кубический эпителий (фолликулоциты щитовидной железы)
Simple cuboidal epithelium (follicular cells of the thyroid gland)
اپیتلیوم مکعبی ساده (سلولهای فولیکولی غده تیروئید)
Переходный эпителий мочевого пузыря (расслабленный)
Transitional epithelium of the urinary bladder (relaxed)
اپیتلیوم انتقالی مثانه ادراری (آرام)
Переходный эпителий мочевого пузыря (растянутый)
Transitional epithelium of the urinary bladder (stretched)
اپیتلیوم انتقالی مثانه ادراری (کشیده شده)
Мазок крови голубя
Blood smear of a pigion
Миокард
Сardiac muscle
Плотная соединительная ткань
Dense connective tissue
Эластичный хрящ
Elastic cartilage
Белая жировая ткань
White adipose tissue
Сердце. Кардиомиоциты
Heart. Cardiac muscle cells
Гиалиновый хрящ
Hyaline cartilage
Рыхлая волокнистая соединительная ткань
Loose areolar connective tissue
Миелинизированные нервные волокна (поперечные и продольные срезы)
Myelinated nerve fibers (transverse and longitudinal sections)
Нейроны (изолированные клетки)
Neurocytes (isolated)
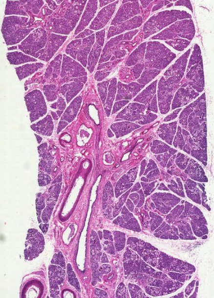
Подчелюстная железа
Submandibular Gland
Трахея. Гиалиновый хрящ
Trachea. Hyaline cartilage
Однослойный многорядный мерцательный эпителий или псевдомногослойный реснитчатый (cеменные пузырьки)
Simple columnar ciliated epithelium or pseudostratified (seminal vesicles)
Простой цилиндрический эпителий (эпителий тонкой кишки)
Simple columnar epithelium (epithelium of the small intestine (Jejunum))
Поперечнополосатая мышечная ткань. Скелетные мышцы (продольный срез)
Striated muscle tissue. Skeletal muscles (longitudinal section)
Поперечнополосатая мышечная ткань. Скелетные мышцы (поперечный срез)
Striated muscle tissue. Skeletal muscles (transverse sections)
Гладкие миоциты (изолированные клетки)
Smooth muscles (isolated)
Гладкая мышечная ткань (поперечные и продольные срезы)
Smooth muscle (transverse and longitudinal sections)
Сухожилие хвоста
Tail tendon
Непрямой остеогенез
Endochondral Ossification
Однослойный кубический эпителий (фоликулоциты щитовидной железы)
Simple cuboidal epithelium (follicular cells of the thyroid gland)
Переходный эпителий (расслабленный)
Transitional epithelium (relaxed)
Кубический эпителий (почка)
Cuboidal Epithelium (Kidney)
اپیتلیوم مکعبی (کلیه)